犬と猫の心臓病
HEART DISEASE
当院は心臓病・循環器疾患の
診療に力を入れています
わんちゃん・ねこちゃんには、生まれ持った奇形が原因となる先天性心疾患のほか、高齢になってから発症する後天性心疾患など、様々な心臓病が存在します。とくに高齢犬の死因のなかで心臓病は腫瘍性疾患に次いで2番目に多い疾患となっているほか、猫の代表的な心疾患である肥大型心筋症の有病率は約15%にのぼるとも言われています。このように、わんちゃん・ねこちゃんにとって心臓病は非常に身近な病気と言えます。このページでは代表的な心疾患をいくつかご紹介します。
当院は心臓病・循環器疾患の診療に力を入れています
わんちゃん・ねこちゃんには、生まれ持った奇形が原因となる先天性心疾患のほか、高齢になってから発症する後天性心疾患など、様々な心臓病が存在します。とくに高齢犬の死因のなかで心臓病は腫瘍性疾患に次いで2番目に多い疾患となっているほか、猫の代表的な心疾患である肥大型心筋症の有病率は約15%にのぼるとも言われています。このように、わんちゃん・ねこちゃんにとって心臓病は非常に身近な病気と言えます。このページでは代表的な心疾患をいくつかご紹介します。
犬の心臓病
犬の先天性心疾患には動脈管開存症や肺動脈狭窄症、心室中隔欠損症などがあります。後天性心疾患のなかでは、チワワ、シーズー、マルチーズ、キャバリアなどの小・中型犬では弁膜の変性性疾患(僧帽弁閉鎖不全症、三尖弁閉鎖不全症など)が多く、ドーベルマンやレトリーバー系などの大型犬では拡張型心筋症が多い傾向にあります。いずれの疾患も進行すると肺水腫や肺高血圧症の合併、腹水の貯留、不整脈や失神の発現につながることがあります。各々の病態により、投薬による内科治療や手術による外科治療が必要になります。

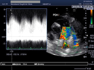
動脈管開存症(PDA)
動脈管開存症(PDA)は、犬の先天性心疾患の中で最も多くみられる疾患です。胎生期の動脈管は生後まもなく自然閉鎖しますが、うまく閉鎖できずに遺残してしまった結果、 動脈管を介して大動脈から肺動脈へ短絡血流が流れ込みます。治療には外科的に動脈管を閉鎖する必要があり、開胸手術による動脈管結紮術やカテーテルによるコイル塞栓術が適応となります。

肺高血圧症を合併したPDA
PDAを放置すると、肺血流量の増加に伴う左心容量負荷や肺高血圧を招きますので、なるべく早期に動脈管を閉鎖する必要があります。肺高血圧症が進行し肺動脈圧が高くなりすぎると、動脈管の閉鎖には時期が遅すぎるため手術不適応となってしまいます。一般にPDAの約半数は1年以内に亡くなってしまうため、様子を見過ぎず早めにご相談ください。

肺動脈狭窄症(PS)
肺動脈狭窄症(PS)は、犬の先天性心疾患の中ではPDAに次いで多い疾患です。狭窄部位により弁性狭窄、弁下狭窄、弁上狭窄に大別されます。犬では弁性狭窄が多くみられ、その重症度によっては突然死の原因となるため、外科的に狭窄部位を拡張する必要があります。

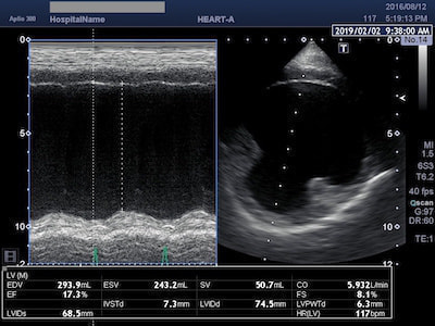
拡張型心筋症(DCM)
大型犬に多くみられる拡張型心筋症(DCM)は、心筋が薄くなることにより心臓の収縮力が低下し、その結果心臓が拡張してしまいます。進行すると心拍出量の低下を招き心不全に陥る怖い疾患です。残念ながら現在のところDCMを治す有効な治療薬は存在しませんが、心臓の収縮力を助けるお薬で従来よりも長生きできるわんちゃんが増えてきました。

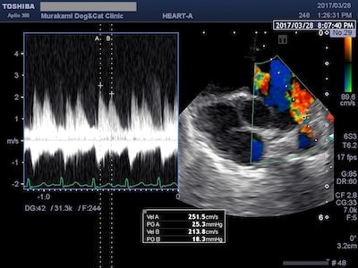
僧帽弁閉鎖不全症
高齢の小型犬に最も多くみられる心臓病が僧帽弁閉鎖不全症です。加齢による僧帽弁の変性により、弁が正常に閉じなくなり血液の逆流が生じます。進行すると逆流した血液が左心房に貯留し、左心房拡大に伴う気管支の圧迫、肺静脈のうっ血を招き、発咳や肺水腫を引き起こし呼吸困難に陥ります。治療は投薬による内科治療と、僧帽弁形成術に代表される外科治療に大別されますが、各々の病期に合わせた適切な治療が必要となります。

三尖弁閉鎖不全症
僧帽弁閉鎖不全症と同様、弁が正常に閉じなくなることにより三尖弁逆流を引き起こす疾患です。原因は三尖弁の問題だけではなく、肺高血圧症に起因したものが多く、適切な治療には肺高血圧症の原因を鑑別することが重要となります。小型犬では僧帽弁閉鎖不全症に続発した二次性の肺高血圧症が多いと言われていますが、肺血栓塞栓症や肺炎、フィラリア症に起因するものも多くみられます。
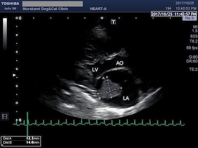
猫の心臓病
猫では心筋症(肥大型心筋症、拘束型心筋症など)が最も多く、メインクーンやラグドール、アメリカンショートヘアー、ペルシャでは家族性や遺伝性の関与も疑われており、若齢でも発症することがあります。また、初期の段階では症状に気付かない事も多く、発見が遅れがちです。進行すると肺水腫や胸水の貯留、大動脈血栓塞栓症による後躯麻痺、失神や突然死などにつながることもありますので、早期発見と適切な内科治療が重要となります。

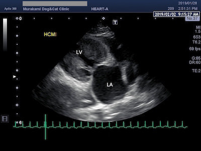
肥大型心筋症(HCM)
心臓の筋肉が肥大してしまう肥大型心筋症(HCM)は、猫の心筋症の中で最も多く認められますが、目立った症状がないまま進行することも多く、肺水腫や動脈血栓塞栓症などの重篤な状態になって初めて発見されることが多い疾患です。聴診で心臓の雑音が認められないことも多く、診断には心臓エコー検査を中心とした詳しい検査が必要となります。

僧帽弁前尖収縮期前方運動(SAM)
HCMのなかには、僧帽弁前尖収縮期前方運動(SAM)と呼ばれる僧帽弁の異常な運動により、左心室から流出する血液の通路を妨害したり(左室流出路閉塞)、異常な弁の動きにより僧帽弁逆流を伴うものがあります。このようなHCMは閉塞性肥大型心筋症(HOCM)と呼ばれています。

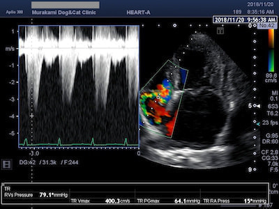
SAMによる僧帽弁逆流
閉塞性肥大型心筋症(HOCM)は、SAMによる左室流出路閉塞と僧帽弁逆流を伴うため、左心房圧が上昇し肺水腫や血栓症のリスクが高まります。治療には血管を拡げて心臓の負担をとるための血管拡張薬や、尿を出して鬱血を改善するための利尿剤、血栓予防のお薬などを使います。

SAMによる左室流出路閉塞
異常な動きをする僧帽弁により左室流出路閉塞が起こると、左心室から流出する血流(大動脈血流)に高速血流が生じます(ホースの先端を摘むと水が勢いよく出るイメージ)。SAMの場合は左室流出血流波形がダガーシェイプ(ダガーナイフ型)になるのが特徴です。治療には左室流出路閉塞を緩和する目的で心拍数を抑えるお薬を使います。

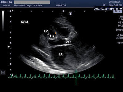
拘束型心筋症(RCM)
肥大型心筋症(HCM)と並んで、猫によくみられる心筋症の一つが拘束型心筋症(RCM)です。HCMと違って心筋の肥大は認められませんが、心内膜の線維化や、心室内に過剰な線維性構造物(過剰調節帯)が認められ、心臓の動きが悪くなる(拘束される)のが特徴です。

RCMに伴う胸水と左房内血栓
RCMでは心室の動きが拘束されることにより拡張機能が妨げられ、僧帽弁逆流や三尖弁逆流が生じた結果、左房拡大や右房拡大が顕著に認められます。拡張した心房内では血流の鬱滞や乱流が生じるため、肺水腫や胸水の貯留、血栓が生じやすくなります。治療には血管拡張薬や利尿剤、血栓予防薬を用います。
ご紹介した疾患以外にも犬・猫には様々な心臓病が存在しますが、正確な診断には心臓超音波検査をはじめとした詳細な検査が必要となります。当院では心臓の検査に重点をおいた心臓ドックを実施しています。
わんちゃん・ねこちゃんの心臓に不安のある方はお気軽にご相談ください。心臓ドックの詳細は、診療案内のページで検査内容をご紹介していますのでぜひご覧ください。